Trattamenti dentali in Albania rappresentano oggi molto più di una semplice cura odontoiatrica o di un miglioramento estetico. Il sorriso è uno degli elementi più potenti nella comunicazione umana: influisce sull’autostima, sul modo di relazionarsi con gli altri e persino sulla percezione di sé nella vita quotidiana e professionale. Denti rovinati, mancanti o disallineati non sono solo un problema estetico, ma spesso diventano un limite emotivo e sociale.
Presso Estetica e Sorriso, i trattamenti dentali vengono concepiti come un vero percorso di trasformazione, non come interventi isolati. Ogni sorriso è diverso, così come lo sono le aspettative, le paure e la storia clinica di ogni paziente. Per questo motivo, l’approccio non è mai standardizzato: non si “applica” un trattamento, ma si costruisce una soluzione su misura, rispettando l’armonia del volto e la naturale espressività del sorriso.
Scegliere di intervenire sul proprio sorriso significa fare una scelta consapevole, che richiede competenza, pianificazione e fiducia nel team medico.
Trattamenti dentali in Albania: perché sempre più italiani fanno questa scelta
Sempre più pazienti italiani guardano all’Albania come alternativa concreta per i trattamenti dentali, e non solo per una questione economica. Il vero valore sta nella possibilità di seguire un percorso organizzato, chiaro e controllato, con tempi certi e costi trasparenti.
Da Estetica e Sorriso, il paziente non è mai lasciato solo a interpretare referti, preventivi o decisioni cliniche. Ogni fase viene spiegata in modo comprensibile, con un dialogo continuo che riduce ansia e incertezze. Questo approccio è particolarmente apprezzato da chi, in Italia, ha vissuto esperienze frammentate o poco chiare.
La combinazione di strutture moderne, tecnologie avanzate e personale parlante italiano rende l’esperienza più serena e accessibile, anche per chi affronta trattamenti complessi o di lunga durata.
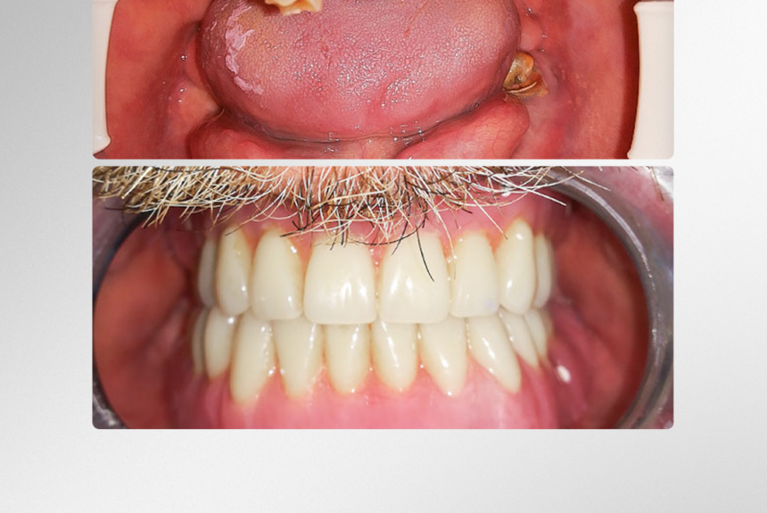
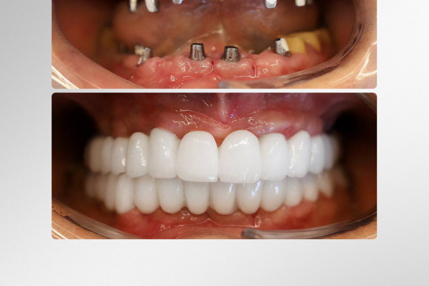
Impianti dentali: ripristinare funzione, estetica e sicurezza
Gli impianti dentali sono oggi la soluzione più affidabile per sostituire uno o più denti mancanti. Tuttavia, non si tratta di un intervento “semplice” come spesso viene raccontato. Un impianto ben riuscito richiede una valutazione accurata della qualità dell’osso, dello stato gengivale e dell’equilibrio masticatorio complessivo.
Presso Estetica e Sorriso, l’implantologia viene affrontata con un approccio multidisciplinare. L’obiettivo non è solo inserire una vite nell’osso, ma garantire stabilità nel tempo, comfort quotidiano e un risultato estetico coerente con il resto del sorriso. Un impianto ben progettato deve sembrare un dente naturale, non un corpo estraneo.
Questo tipo di attenzione riduce il rischio di complicazioni future e permette al paziente di tornare a mangiare, parlare e sorridere senza timori.
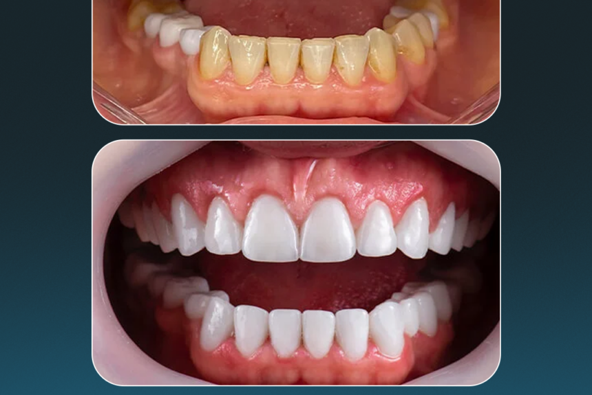
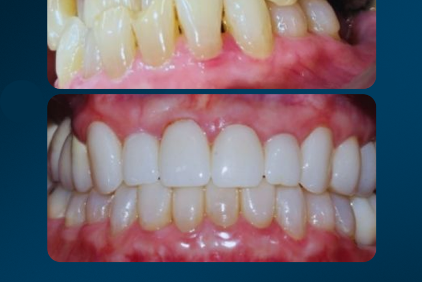
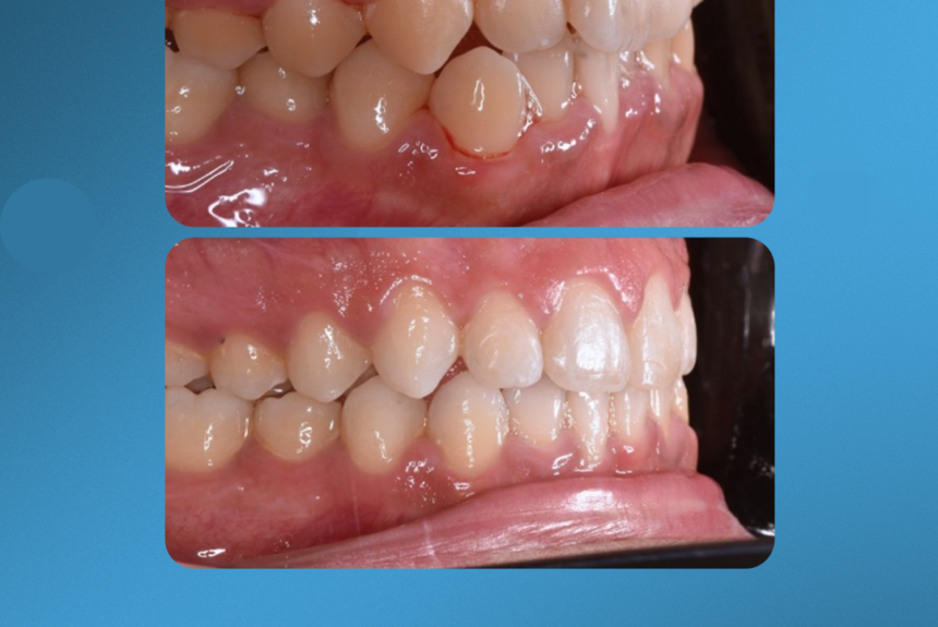
Faccette eMax: precisione estetica e rispetto del dente naturale
Le faccette eMax sono una delle soluzioni più raffinate nell’odontoiatria estetica moderna. Vengono scelte da pazienti che desiderano migliorare l’aspetto del sorriso mantenendo un risultato naturale e armonioso.
Il grande vantaggio di questa tecnica è la minima invasività: nella maggior parte dei casi, la struttura del dente viene preservata quasi completamente. Il risultato finale non è un sorriso “costruito”, ma un sorriso che appare semplicemente più curato, luminoso ed equilibrato.
Da Estetica e Sorriso, le faccette vengono progettate digitalmente, tenendo conto non solo dei denti, ma anche della forma del viso, della linea del sorriso e dell’età del paziente. Questo approccio evita risultati eccessivi o artificiali, puntando sempre alla naturalezza.
Mascherine invisibili: correggere il sorriso senza stravolgere la vita quotidiana
Le mascherine invisibili hanno rivoluzionato il modo di affrontare l’ortodonzia negli adulti. Sempre più pazienti desiderano allineare i denti senza dover indossare apparecchi visibili o scomodi.
Questo trattamento permette di correggere disallineamenti progressivamente, con dispositivi trasparenti e rimovibili. Il paziente può continuare la propria routine quotidiana senza imbarazzi o limitazioni importanti.
Presso Estetica e Sorriso, il trattamento viene pianificato con software digitali che mostrano l’evoluzione del sorriso passo dopo passo. Questo aumenta la fiducia nel percorso e permette di monitorare i risultati in modo preciso e prevedibile.
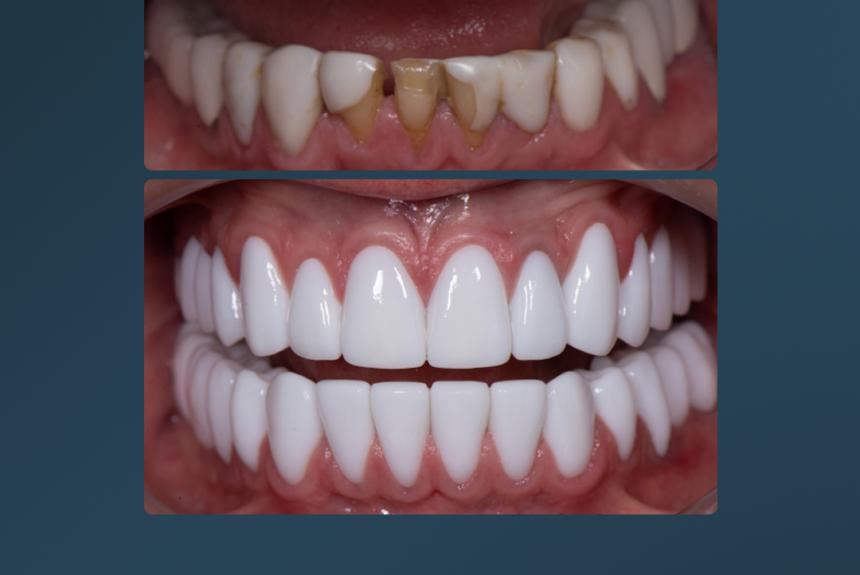
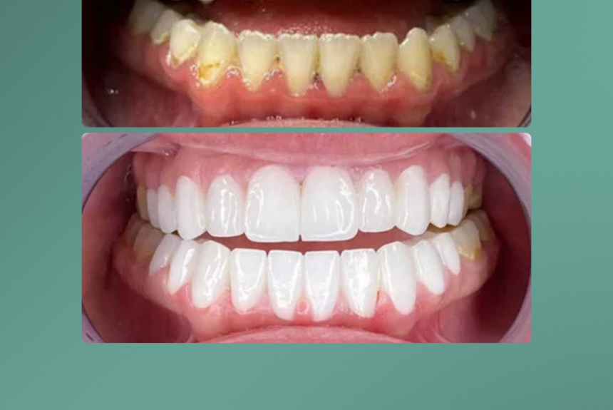
Hollywood Smile: un progetto estetico, non un effetto artificiale
L’Hollywood Smile è spesso frainteso come un sorriso “finto” o eccessivo. In realtà, quando progettato correttamente, rappresenta un equilibrio perfetto tra estetica, proporzioni e naturalezza.
Si tratta di un percorso che può includere faccette, sbiancamenti, riallineamenti o ricostruzioni, studiati per creare un sorriso coerente con i tratti del volto. Ogni dettaglio viene valutato per evitare risultati standardizzati.
Da Estetica e Sorriso, l’Hollywood Smile viene interpretato come un progetto sartoriale: il sorriso viene “disegnato” sul paziente, non imposto.
Hai domande o vuoi prenotare una visita?
La consulenza è il primo passo fondamentale per chi sta valutando la rinoplastica. Presso Estetica e Sorriso, la consulenza è gratuita e consente di ricevere una valutazione iniziale personalizzata, chiarendo dubbi, tecniche e possibilità reali di risultato.
Prenota una Consulenza GRATUITA
Il percorso di cura: dalla consulenza al risultato finale
Il percorso di cura dentale non inizia sulla poltrona, ma molto prima. Inizia nel momento in cui il paziente decide di informarsi seriamente e capire cosa è davvero possibile fare per il proprio sorriso. Presso Estetica e Sorriso, ogni trattamento parte sempre da una consulenza approfondita e personalizzata, pensata per analizzare non solo la situazione clinica, ma anche le aspettative, le paure e gli obiettivi reali del paziente.
Durante la prima valutazione vengono esaminati:
- lo stato generale della salute orale
- la funzionalità masticatoria
- l’estetica del sorriso in relazione al viso
- eventuali problematiche pregresse o trattamenti precedenti
Questo passaggio è fondamentale perché permette di costruire un piano di trattamento realistico, evitando promesse irrealizzabili o soluzioni standardizzate. Il paziente viene accompagnato passo dopo passo, con spiegazioni chiare su tempi, costi, alternative e risultati attesi.
Il percorso prosegue poi con una pianificazione precisa delle fasi cliniche, riducendo al minimo gli imprevisti e permettendo al paziente di affrontare ogni step con maggiore serenità e consapevolezza.
Sicurezza clinica, materiali certificati e tecnologie avanzate
Un trattamento dentale di qualità non può prescindere dalla sicurezza clinica. Presso Estetica e Sorriso, ogni intervento viene eseguito seguendo protocolli rigorosi, in ambienti controllati e con l’utilizzo esclusivo di materiali certificati a livello internazionale.
L’uso di tecnologie avanzate consente diagnosi più precise, trattamenti meno invasivi e una maggiore prevedibilità dei risultati. Questo significa:
- riduzione dei rischi
- maggiore comfort per il paziente
- risultati più stabili nel tempo
La sicurezza non riguarda solo l’intervento in sé, ma l’intero percorso: dalla diagnosi iniziale, alla fase post-operatoria, fino ai controlli successivi. Questo approccio è particolarmente apprezzato dai pazienti italiani che cercano un’alternativa affidabile e trasparente rispetto a percorsi frammentati o poco chiari.
Recupero, mantenimento e risultati nel tempo
Uno degli aspetti più sottovalutati nei trattamenti dentali è il periodo successivo all’intervento. Il recupero non è solo una questione di giorni, ma un processo che richiede attenzione, indicazioni precise e un corretto mantenimento.
A seconda del trattamento effettuato, i tempi di recupero possono variare, ma nella maggior parte dei casi il paziente può tornare rapidamente alle normali attività quotidiane. È fondamentale seguire le indicazioni fornite dal team medico, soprattutto per quanto riguarda:
- igiene orale
- alimentazione
- controlli periodici
Un sorriso ben realizzato deve essere anche facile da mantenere. Per questo Estetica e Sorriso fornisce indicazioni chiare su come preservare i risultati nel tempo, evitando problematiche future e garantendo una lunga durata dei trattamenti.
Supporto continuo e assistenza al paziente
Uno dei punti di forza di Estetica e Sorriso è l’assistenza continua, prima, durante e dopo il trattamento. Il paziente non viene mai lasciato solo a gestire dubbi o incertezze, ma può contare su un team disponibile e comunicativo.
Il supporto include:
- assistenza in lingua italiana
- comunicazione chiara e costante
- disponibilità per chiarimenti anche dopo il rientro a casa
Questo approccio riduce ansia e stress, trasformando il trattamento dentale in un’esperienza più serena e controllata.
Recensioni dei pazienti
Le recensioni dei pazienti italiani rappresentano una delle fonti più affidabili per comprendere la qualità reale del servizio. Molti sottolineano:
- la chiarezza delle informazioni ricevute
- la professionalità del team medico
- la naturalezza dei risultati
- l’organizzazione del percorso
Queste testimonianze confermano l’importanza di un approccio basato sull’ascolto e sulla personalizzazione, elementi fondamentali per ottenere risultati soddisfacenti e duraturi.
Perché Scegliere Estetica e Sorriso
Scegliere Estetica e Sorriso significa affidarsi a un centro moderno dove competenza, tecnologia e attenzione al paziente si uniscono per garantire risultati di alta qualità.
Ogni trattamento è studiato in modo personalizzato, con l’obiettivo di offrire un’esperienza sicura, trasparente e confortevole in ogni fase del percorso.
Ecco alcuni motivi per cui i pazienti ci scelgono ogni giorno:
- Chirurghi altamente specializzati
- Procedure personalizzate
- Supporto continuo in italiano
- Risultati naturali, nessun effetto “finto”
- Struttura moderna, ambienti sicuri
- Nessuna sorpresa economica
📞 Contatti: +39 3518974449
📧 Email: info@esteticaesorriso.it
📍 Tirana, Albania
🌐 Website: www.esteticaesorriso.it
📸 Instagram: @esteticaesorriso.it
Conclusione
I trattamenti dentali rappresentano oggi una scelta importante che va oltre l’estetica. Significano benessere, sicurezza e qualità della vita. Affidarsi a Estetica e Sorriso vuol dire scegliere un centro che mette al primo posto la persona, non solo il risultato finale.
Un sorriso curato è un investimento nel tempo, e merita competenza, trasparenza e attenzione in ogni fase del percorso.







































Leave a Reply